Expert Dental Prosthetics Services at your doorstep
At www.makemytooth.ca, we bring smiles to life.
As a modern Canadian dental service provider, we not only work independently but also act as a trusted intermediary between dental clinics and specialized fabrication laboratories. Through strong partnerships and collaboration with top-tier labs, we deliver premium-quality dental restorations crafted using advanced CAD/CAM technology and high-grade materials. Each case is professionally managed by our expert team to ensure seamless coordination, precision fit, and a natural aesthetic—meeting the highest standards of both dentists and patients.


Your Smile, Our Craft
Our mission is to support dental professionals in delivering and placing restorations that closely mimic the natural dentition.
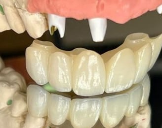
Implant Prosthetics
Customized crowns and bridges for implant-supported restorations with optimal fit and function.Zirconia & E-Max Crowns
High-strength, aesthetic crowns for both anterior and posterior restorations.CAD/CAM Design & Milling
Precision design and digital fabrication for consistently accurate results.3D Printed Dental Appliances
Advanced printing solutions for models, surgical guides, and temporary prosthetics.Finishing & Shade Matching
Natural appearance and esthetic excellence tailored to patient needs.
We aim to elevate the meticulously envisioned and crafted tooth designs provided by clinicians for each implant prosthesis.


Gallery
Explore our custom-fit dental prosthetics and innovative designs.












Why Choose makemytooth.ca?
At www.makemytooth.ca, we ensure to combine cutting-edge digital tools with expert craftsmanship to deliver dental prosthetics of exceptional accuracy, durability, and aesthetics. Our aim is to ensure every restoration meets the highest clinical standards—helping dental professionals provide natural-looking, long-lasting results.
Precision manufacturing with CAD/CAM technology:
We use state-of-the-art CAD/CAM systems and 3D milling machines to ensure every crown, bridge, and implant prosthesis fits with exceptional accuracy and aesthetics.
High-quality materials, Long-lasting results:
From zirconia to lithium disilicate, we work with premium-grade materials known for strength, biocompatibility, and natural appearance.
Crafted by experts, guided by Dentists
Our experienced dental technicians operate under the close supervision of a professional dentist, ensuring each case is treated with clinical precision and attention to detail.
